티스토리 뷰
안녕하세요 오늘은 원인 불명의 전신 염증 질환인 사이코이드증에 대하여 알아보려고 합니다. 세상에서 가장 무서운 질병이 바로 원인이 없는 증상입니다. 염증이 생기는 곳은 다양한 장기가 될 수 있으나 가장 흔하게는 폐를 침범하는 사례가 잦은 편이며 이 외에 간이나 피부 여기 저기, 눈, 신장등에도 염증이 침범될 수 있습니다.

사르코이드증
이 질환이 생기는 기전은 비괴사성 육아종이 특징인데 다양한 육아종 세포가 뭉쳐져 염증을 만들게 된다. 원인이 정확하지 않으나 현재까지는 환경적 요인과 신체적으로 예민한 환자가 염증 자극을 받아 일어나는 것으로 분석중이다. 쉽게 설명하여 온몸 전체에 육아종이 생기는 질병이다.
육아종은 백혈구라는 대식세포가 모여 덩어리 진 형태로 병원체나 불문명한 항원 제거를 위해 생기기도 한다. 현재는 결핵균과의 관련성이나 프로피오니박터 아크네란 여드름 원인균과의 연관성을 염두해 두고 연구를 진행중이다.
가장 흔한 증상은 폐로 인한 결과로 병원을 찾게 되는데 처음에는 기침과, 호흡곤란, 흉부 불편감등의 증상을 호소하여 방치하다 치료를 위해 병원을 찾게 되어 우연히 발견되는 질환이 바로 사르코이드증이다.
사르코이드증 증상
만약 피부에 이 증상이 오는 경우 빨간 점이나 융기가 몸 여기 저기서 관찰되며 발열증상과 피로감이 몰려와서 병원을 찾게 되면서 발견이 될 수도 있다. 특히 온몸에 빨간 점이나 융기가 올라오면서 간혹 피부질환으로 착각하고 집에 있는 피부질환 연고를 바르면서 병을 방치하고 키우게 되는 형국이 되는 경우가 대부분이다.
거기다 과도색소침착이나 피부결절, 결절홍반 등의 증상을 동반하는데 당연히 육안상 구별이 쉽지 않으면 눈에 생길 경우 눈부심은물론 시력의 저하, 눈물증가, 안구 건조등의 증상을 호소할 수 있는 특징을 보입니다.
유육종증의 보편적인 증상은 더부륵하고 소화가 잘 되지 않으며 가슴이 답답하고 속 쓰림이 아주 심하게 나타난다. 그리고 트림도 잘 나오고 음식물 역류현상이 잦아지는 특징을 보인다.
진단을 내리기 위해선 다양한 절차를 거쳐야 하는데 다양한 균의 배양검사를 통하여 확인이 된다. 보통은 흉부 사진을 통한 양측 페문부 종대, 동상성 낭창, 피부 홍반이 결정성인 피부 질환등으로 구분을 하게 된다. 그 외는 폐문부 임파절 생검, 피부 병변 생검을 통하여 육아종을 확인하기도 한다.
치료 방법은 현재 중요장기인 심장과 눈, 신경등에 침범하였다면 전신 스테로이드 요법을 사용해야 한다. 그게 아닌경우는 증상이 외적으로 드러나지 않는 경우 추적관찰로 심장과, 시력, 신경등을 확인 하게 된다.

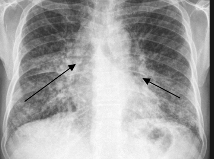
위 사진을 보면 양측의 허파문림프절 종대 양측 허파에서 입지모양의 음영이 확인되면 사르코이드증으로 진단을 내릴 수 있다. 이렇게 폐에 침범한 사르코이드는 바로 치료가 아닌 경과를 지켜보면서 치료 시기를 결정하게 된다.
만약 가역성 육아종일 경우 폐가 섬유화로 진행되어 폐 기능을 상실하기 전에 치료를 시작해야 하는데 상당히 어려운 타이밍입니다. 사이코이드의 대부분인 약 90% 이상은 폐 침범에 의해 생기는데 흡연 여부와 무관하게 발생한다.
오히려 비흡연자에서 더 잘 발생하며 남성보다는 20~40대 여성에게서 주로 발생빈도를 보이는 질환이다. 거기다 치료를 끝냈다고 하여도 방심할 수 없을 정도로 재발 가능성이 높기에 정기적인 흉부 단층촬영을 통하여 관리를 해야 할 것 입니다.
대부분의 환자들이 2년~5년 사이 완치가 되는 경우가 많으나 이는 관리를 정말 잘했을 경우의 예 입니다. 만약 이미 폐섬유화, 뼈 낭종, 심장질환 병력이 잇는 경우 만성으로 갈 가능성이 높기에 집중하여 관리를 하시길 바랍니다.
클라인펠터증후군 불임의 원인이라고?
클라인펠터증후군 특징과 그 원인 치료방법? 클라인펠터라는 의사가 있었습니다. 메사추세즈 주의 의사로써 1942년 외관상 남자의 신체를 가졌으나 동년배의 같은 일반 남성과 비교하였을경우
mindor.tistory.com
2021.07.07 - [음식/건강] - 마이코플라즈마 제니탈리움 뭐? 바람이라고?
마이코플라즈마 제니탈리움 뭐? 바람이라고?
임산부의 경우 보통 7주 차 때 자궁경부암 검사를 받으려 병원 가보면 마이코플라즈마 제니탈리움 균의 발견으로 많은 걱정을 하는 분들이 많습니다. 바로 유산이나 조산의 위험성 때문이죠! 사
mindor.tistory.com
피부 흑색종 미리 알고 있어야한다.
모든 질병은 초기에 발견할 경우 치료 가능성이 아주 높아진다. 갑자기 안 보이던 점이 허벅다리나 팔, 등 여기저기에 생긴 분들이 분명히 있다. 보이지 않던 점이 점점 커지면서 가렵기도 하다
mindor.tistory.com
- Total
- Today
- Yesterday
- 셀트리온제약주가
- 한미약품주가
- 스튜디오드래곤
- 아모텍주가
- 셀트리온헬스케어주가
- 기아차주가
- 피플바이오주가
- 삼보산업
- 펄어비스
- LG전자 주가
- 우정바이오주가
- 대한항공주가
- 셀트리온
- 엑세스바이오주가
- 풍국주정
- 일신바이오주가
- 에이비프로바이오주가
- 카카오주가
- 제주은행
- 현대차주가
- 초록뱀주가
- 우리바이오주가
- 박셀바이오주가
- 풍국주정주가
- 신풍제약주가
- 쌍용양회
- 서울식품주가
- HMM
- 엔투텍주가
- 셀트리온주가
| 일 | 월 | 화 | 수 | 목 | 금 | 토 |
|---|---|---|---|---|---|---|
| 1 | 2 | 3 | 4 | 5 | 6 | 7 |
| 8 | 9 | 10 | 11 | 12 | 13 | 14 |
| 15 | 16 | 17 | 18 | 19 | 20 | 21 |
| 22 | 23 | 24 | 25 | 26 | 27 | 28 |
| 29 | 30 | 31 |