티스토리 뷰
눈 주위에 뭔가 나서 꼭 눈곱이 대롱대롱 달린듯한 모양은 보는 사람으로 하여금 불쾌감을 줄 수 있다. 쥐젖이란 연성 섬유종은 눈 주위나 목, 겨드랑이 등 다양한 곳에 생기는 작은 양성 종양이다. 이름도 하필 쥐젖이다. 얼굴보다는 이상하게 살이 접혀있는 눈꺼풀 위에 많이 난다. 그럼 쥐젖 제거방법에 대하여 아래를 참고하여 알아보도록 하자.

쥐젖 개요
연성 섬유종이라 하는데 다행인것은 외관상의 문제일 뿐 인체에 무해하다. 통증도 없으며 장기간 제거하지 않아도 크게 성장하거나 변화를 하지 않는다고 봐도 된다. 보통 많이 커진 크기가 쌀 한 톨 정도인데 눈 주위에 이 정도 크기의 연성 섬유종이 났다면 상당히 크다.
연성 섬유종은 아교질 섬유 증식과 각질 형성 세포로 생기는 섬유 상피 양성종양인데 말랑말랑한 폴립 모양이 특징이다. 필자의 경우도 목과 겨드랑이 많이 생기는 것을 확인하였다. 그래도 걱정은 하지 말라. 사마귀처럼 누군가에 거 옮기거나 하는 전염성 피부질환은 아니니 말이다.



원인
젊은 층에서는 거의 생기지 않으나 나이가 들면서 점점 생긴다. 그 원인 자체는 현재까지 정확하게 밝혀진 것은 없다. 단지 당뇨나 임신이 원인이 될 수 도 있고, 비만 여성에게서 그 빈도가 많이 보이나 정확한 비만과의 연관성은 현재까지 밝혀진 것은 없다. 나이가 중년 이상이 될수록 발생이 증가하는 경향을 보이는 걸 보면 호르몬의 변화로 인한 결과가 아닐까 생각된다.



증상
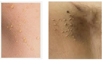
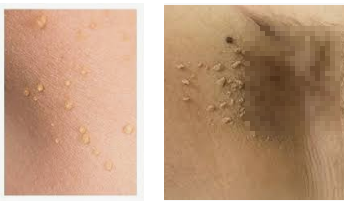
처음 생기면 사마귀로 오인하는 분들이 많다. 보통 사람의 피부색과 비슷한 경우 그나마 다행인데 검정색이나 붉은색으로 생기면 스트레스가 상당하다. 검은색을 띠는 이유는 혈액공급이 되지 않는 경우이다. 눈꺼풀에만 나지 않는다면 겨드랑이나 목, 사타구니 등에 생기는 쥐젖은 그나마 양호한 편이다.
쥐젖과 편평 사마귀의 구별이 어려울 수 있는데 편평사마귀의 경우 손으로 건드려 만지작 거리면 1개가 수백 개로 씨앗을 퍼뜨릴 수 있기에 아래 사진과 같은 편평 사마귀는 반드시 구별할 줄 알아야 한다.

치료방법
대부분 증상이 없으나 더러는 가려움이 생기는 환자도 있다. 크기가 0.5cm 정도 되면 피부와 하나로 보는 게 맞는데 괴사가 생길 경우 통증을 동반하기도 한다. 아주 작은 1mm 정도는 그냥 손톱으로 잡아 뜯는데 세균 감염 우려가 있어 권장하지 않으니 병원 가면 작은 가위나 레이저 치료를 통해 제거한다. 쥐젖 치료에 도움 되지 않는 방법은 마사지나 혈액순환이 되도록 개선시키는 치료는 하지 마시라.
조현병 초기증상 이 세가지만 기억하자
코로나로 인하여 정신질환을 앓고 있는 환자가 더욱 많이 늘었다고 합니다. 중요한 것은 정신병과 같은 증상은 방치하지 않고 빠른 진료를 통하여 위험한 기간을 단축시킬 수 있다는 사실입니
youndor.tistory.com
아나필락시스 이 증상이 무서운 이유
코로나 백신과 관련하여 많은 분들이 걱정하는 대표적인 부작용이 아나필락시스가 아닐까 생각합니다. 그래서 코로나 백신 접종 이후에 접종기관에서 약 15분~30분 정도를 대기하며 증상을 관찰
youndor.tistory.com
- Total
- Today
- Yesterday
- 우정바이오주가
- 셀트리온제약주가
- 일신바이오주가
- 카카오주가
- 엔투텍주가
- 펄어비스
- 아모텍주가
- LG전자 주가
- 풍국주정
- 제주은행
- 셀트리온
- 초록뱀주가
- 신풍제약주가
- 쌍용양회
- 기아차주가
- 셀트리온주가
- 삼보산업
- 서울식품주가
- 풍국주정주가
- 우리바이오주가
- 현대차주가
- 대한항공주가
- 피플바이오주가
- 박셀바이오주가
- 한미약품주가
- 스튜디오드래곤
- HMM
- 셀트리온헬스케어주가
- 엑세스바이오주가
- 에이비프로바이오주가
| 일 | 월 | 화 | 수 | 목 | 금 | 토 |
|---|---|---|---|---|---|---|
| 1 | 2 | |||||
| 3 | 4 | 5 | 6 | 7 | 8 | 9 |
| 10 | 11 | 12 | 13 | 14 | 15 | 16 |
| 17 | 18 | 19 | 20 | 21 | 22 | 23 |
| 24 | 25 | 26 | 27 | 28 | 29 | 30 |
| 31 |