티스토리 뷰
곤지름은 육안상으로 보면 뭔가 찝찝한 느낌이 들 수 있다. 그런데 우리가 알고 있는 것과는 다르게 이것은 성병이 아닙니다. 많은 분들이 잘못된 지식으로 오인하여 병원 가는 것 자체를 수치스럽게 생각하는데 절대 그럴 필요가 없으며, 병원 치료를 통하여 빠른 치료가 가능합니다. 그럼 소음순 곤지름에 대하여 알아보자!

원인
제목이 소음순 곤지름이지 사실 남성이고 여성이고 다 같은 곤지름에 발생할 수 있습니다. 그 원인은 바이러스에 의해 발생하는데 꼭 여성이나 남성의 성기에만 발생되는 것은 아니고 피부의 다양한 곳에 나타나게 됩니다. 사실 곤지름은 사마귀와 같다고 보면 됩니다. 다만 모양이 닭벼슬 같이 뾰족하거나 불규칙적으로 생겼습니다.
우리가 이 질병은 성병으로 오인하는 이유는 1954년의 한국 동란 참전 이후 미군들 부인으로부터 곤지름이 많이 생겼습니다. 한국에서 주둔한 미군들은 한국에서 많은 혼외 성관계를 통하여 이런 질병이 보고되었다고 하죠! 그럼 전문가 분들의 정의를 보도록 하겠습니다.

정확한 의미
인체 유두종 바이러스인 HPV 감염으로 성기인근에 발생하는 사마귀입니다. 전염력이 강한 바이러스다 보니 1회의 성관계만으로도 절반 이상이 감염이 될 수 있으며 성관계 후 2~3달 안에 피부병변이 발생하게 되죠! 만약 아이들에게서 생기는 이유는 가족과의 밀접촉으로 인하여 생길 가능성이 대부분입니다.
인유두종 바이러스의 종류는 무려 100여 종인데 신체 다양한 곳에 물집 형태로 포진되는 사마귀라고 보면 됩니다. 이중에 절반도 안 되는 약 40여 종에서 곤지름으로 발생하게 되는 것이죠. 곤지름 치료가 가능한 약은 알다라 크림이나 예방을 위한 가다실9 접종도 되고 있으니 참고해 보시길 바랍니다.
알다라크림을 이렇게 사용해 보세요(콘딜로마치료가능)
알다라크림을 써 보신 분들은 아실꺼라 생각합니다. 그 효과가 뛰어나다 보니 많은 분들이 입소문을 타고 사용하고 있다고 합니다. 특히 사마귀의 경우 피부과 가서 레이져 치료를 받고 나서도
gaomansasung.tistory.com
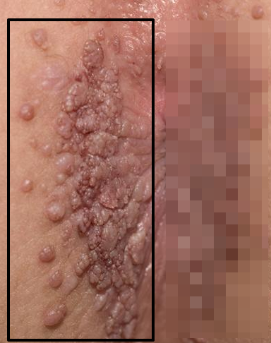
발생 부위
성기 주변뿐 아니라 항문 주변에 많이 생기는데 첨엔 좁쌀 모양으로 거의 잘 구분하지 못할 정도로 발생을 하는데 일정 시간이 지나면 닭 볏이나 산딸기 같은 모양으로 변하게 됩니다. 곤지름을 떼어 내려고 건들면 이미 피부와 하나가 되었기에 피가 나며, 여성의 경우 임신을 하게 되면 크기가 상당히 커지는 경우가 아주 많습니다.
유레아플라즈마원인 이 부분 꼭 확인! UREAPLASMAUREALYTICUM
안녕하세요 오늘소개할 글은 유레아플라즈마 입니다. 잘못된 상식과 이해로 생각보다 많은 분들이 마음고생 많이 하신다고 합니다. 유레아플라즈마즈마는 성접촉을 통하여 전염이 가능한 접촉
gaomansasung.tistory.com
진단 방법
육안상으로만 100% 곤지름이라고 단정 지을 순 없습니다. 혹시 2기 매독이나 콘딜로마 또는 암세포와 구별을 위한 정밀검사를 통하여 정확한 진단을 내리게 됩니다. 병원에선 냉동치료나 탄산가스 레이저 치료, 포도필린 수지, 사염화 초산액 등의 다양한 방법으로 치료가 가능합니다.

소음순 곤지름 주의
네 곤지름의 다른 표현은 바로 콘딜로마라고 불리고 있습니다. 여성분들에게 발견될 경우 반드시 병원 진료를 권장하는 이유는 바로 이 콘딜로마인 인유두종 바이러스인 HPV는 자궁경부의 병변을 일으켜 결국 자궁경부암까지 일으킬 수 있는 무서운 녀석입니다.
꼭 다른 사람과의 성관계도 문제가 될 수 있지만 목욕탕이나 수영장 바닥에 앉아서 세면이나 옷 갈아 입는 행동에 주의를 귀울여야 합니다.
고환염전 파헤치기
안녕하세요 정보공화국 입니다. 오늘은 고환염전에 관하여 알바 보도록 하겠습니다. 고환이라는 것은 남성분들에게 아주 중요한 부분입니다. 아마 질병자체가 생소하신 분들도 계실꺼라 사료
gaomansasung.tistory.com
'음식 > 생활정보' 카테고리의 다른 글
| 보건증발급병원[대전-주소, 비용] (0) | 2021.08.18 |
|---|---|
| 경찰청 이파인 자주 확인해 보자! (0) | 2021.08.15 |
| 대전 코로나 확진자동선 재소자 백신접종 시작 (0) | 2021.08.13 |
| 보건증발급병원[울산] 가장싼곳! (0) | 2021.08.12 |
| 광주 보건증 발급 병원 제일 싼곳은 어디? (0) | 2021.08.11 |
- Total
- Today
- Yesterday
- 일신바이오주가
- 아모텍주가
- 한미약품주가
- 셀트리온주가
- 엑세스바이오주가
- 셀트리온헬스케어주가
- 에이비프로바이오주가
- 우정바이오주가
- 기아차주가
- 신풍제약주가
- 쌍용양회
- 피플바이오주가
- 셀트리온
- 셀트리온제약주가
- 펄어비스
- 대한항공주가
- 카카오주가
- 풍국주정주가
- 풍국주정
- 박셀바이오주가
- 스튜디오드래곤
- 초록뱀주가
- 삼보산업
- 엔투텍주가
- 제주은행
- 우리바이오주가
- HMM
- LG전자 주가
- 현대차주가
- 서울식품주가
| 일 | 월 | 화 | 수 | 목 | 금 | 토 |
|---|---|---|---|---|---|---|
| 1 | ||||||
| 2 | 3 | 4 | 5 | 6 | 7 | 8 |
| 9 | 10 | 11 | 12 | 13 | 14 | 15 |
| 16 | 17 | 18 | 19 | 20 | 21 | 22 |
| 23 | 24 | 25 | 26 | 27 | 28 | 29 |
| 30 |